See Our Work - Patient Transformations at Camasperio

At Camas Periodontics, we are committed to providing personalized, high-quality periodontal care. Our team specializes in treating gum disease, dental implants, and advanced oral health procedures. Our work take pride in delivering exceptional results that enhance our patients’ oral health, comfort, and confidence, ensuring long-lasting, beautiful smiles. Our work is driven by excellence, innovation, and dedication to delivering top-quality results.

Detailed view of oral anatomy captured via advanced imaging

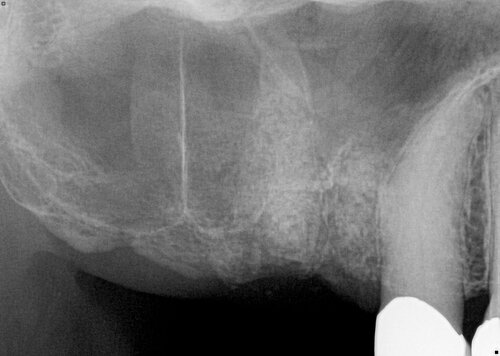
Before

The upper back molars were missing and the sinus was too low to proceed with dental implants. There was not enough bone present to place the implant.
Detailed view of oral anatomy captured via advanced imaging

After

We performed a sinus augmentation procedure to “lift” the sinus and place bone into the site so that a dental implants could be anchored properly, restoring molar function.

Pre-treatment dental images for patient evaluation

Before

This patient was congenitally missing these front teeth, which never developed.
Pre-treatment panoramic dental image

During

We placed two narrow dental implants into the bone to replace the missing tooth roots.
Intraoral imaging system at Beaverton Periodontics

After

The patient received a wonderful aesthetic and functional result with porcelain crowns over the implant fixtures.
Panoramic dental imaging equipment in action
Dental assistant arranging tools

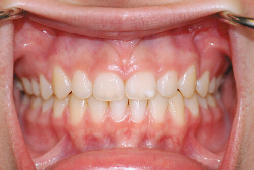
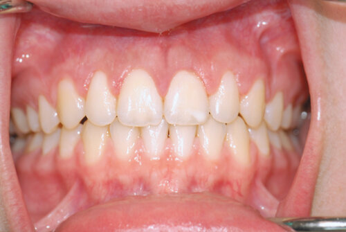
Before

The tooth length of the upper front teeth appears too short, making the teeth appear square shaped and showing too much gum tissue when the patient smiles.
Patient chair setup at Beaverton Periodontics clinic

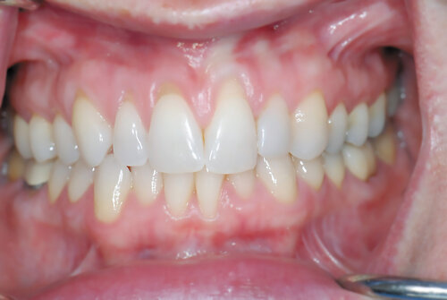
After

We performed a simple gum lift procedure called crown lengthening to improve the shape of the teeth. The result makes them longer and more triangular, which is an aesthetic improvement.
Close-up of dental instruments in use

Before

This patient shows severe recession (exposed root surfaces) of the lower front teeth. They lacked the band of thick gum tissue that should be present and instead had only mucosa. This mucosal tissue is thin and mobile (like the inside of your lip), and does not create a protective seal against the tooth.
Advanced dental imaging equipment at Beaverton Periodontics

After

We performed a gum graft utilizing tissue transplanted from the roof of the mouth. The patient achieved a thick, stable long-term result that created a firm protective seal against the tooth to prevent further breakdown.
Dental tools arranged on a sterile tray

Before

Note the exposed root surfaces (recession) of the upper teeth.
Dental assistant setting up treatment station

After

We performed a simple gum grafting procedure to reposition the gum tissue and cover the roots. This helps decrease the chances of root cavities and sensitivity while providing significant aesthetic improvement.